Cirkowirus typ 2 (PCV2) występuje endemicznie w fermach świń. Wiremię i siewstwo wykazano zarówno u noworodków jak i dorosłych świń. Obniżenie krążenia PCV2 jest celem bezpośrednich i pośrednich metod profilaktycznych. Dowody na śródmaciczne zakażenia prosiąt PCV2 oraz problemy rozrodcze związane z tym wirusem znane są już od 1999 roku. Celem naszego projektu była w pierwszej kolejności ocena klinicznych i patologicznych skutków zakażenia konwencjonalnych, serologicznie dodatnich w kierunku PCV2, loszek inseminowanych nasieniem zanieczyszczonym szczepem należącym do genotypu PCV2b. W drugiej kolejności oceniano wiremię, siewstwo wirusa, obecność wirusa w tkankach samicy oraz tkankach płodu, w przypadku konwencjonalnych, pochodzących z dodatniej fermy, loszek szczepionych lub nieszczepionych przeciw PCV2, inseminowanych nasieniem zanieczyszczonym PCV2 .
Pierwsze doświadczenie przeprowadzno na 9 konwencjonalnych loszkach podzielonych na dwie grupy: sześciu inseminowanych nasieniem zanieczyszczonym PCV2 i trzech inseminowanych nasieniem bez PCV2. U loszek o najniższym poziomie przeciwciał przed infekcją, doszło do wzrostu ich poziomu w następstwie inseminacji zakażonym nasieniem, a także stwierdzono u nich płody dodatnie w kierunku PCV2. W przypadku jednego łożyska stwierdzono ogniska łagodnej martwicy nabłonka kosmówki oraz dodatni wynik barwienia antygenu PCV2 techniką immunohistochemii. Uzyskane wyniki wskazują, że loszki serologicznie dodatnie w kierunku PCV2 mogą ulec zakażeniu PCV2 przez inseminację, niski poziom przeciwciał u takich zwierząt zwiększa prawdopodobieństwo infekcji płodu, zmiany w łożysku wywołane przez PCV2 mogą wskazywać na ich rolę w zaburzeniach płodowych oraz, że zakażenie PCV2 w okresie inseminacji może skutkować zakażeniem zarodków.


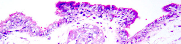
Ryc. 1 - Martwica skrzepowa trofoblastu. Barwienie hematoksyliną i eozyną.
Dla oceny protekcji wywołanej szczepieniem szczepionką przeciw PCV2 zarejestrowaną dla loch zastosowano ten sam układ eksperymentalny z wykorzystaniem 15 konwencjonalnych loszek pochodzących z dodatniego stada. Loszki podzielono na 3 grupy. Dwanaście loszek inseminowano nasieniem zanieczyszczonym PCV2, spośród których 6 zaszczepiono dwukrotnie szczepionką przeciw PCV2 przeznaczoną dla loch, na 5 i 2 tygodnie przed inseminacją (szczepione-zakażone = VI), a 6 pozostało niezaszczepionych (nieszczepione-zakażone = INV). Trzy loszki pozostały nieszczepione i niezakażone zanieczyszczonym nasieniem (kontrola = C). Uzyskano następujące wyniki: a) większośc loszek z grup NVI i C miała PCV2 we krwi przed inseminacją jak i w różnym czasie po inseminacji (56 dni obserwacji po inseminacji), podczas gdy loszki z grupy VI dały znacznie mniej wyników dodatnich w badaniu krwi; b) grupa VI dała znacznie mniej próbek dodatnich pobieranych in vivo w porównwniu do grupy INV i grupy C; c) w grupie VI stwierdzono niższą liczbę łożysk dodatnich w kierunku PCV2 , a żaden z płodów nie dał wyniku dodatniego w PCR dla PCV2, podczas gdy w grupach NVI i C stwierdzono wyższy odsetek dodatnich łożysk oraz 1 płód i 3 próbki płynu owodniowego wyszły dodatnio w PCR w kierunku PCV2 w grupie NVI, a 1 płód w grupie C; d) w grupie VI nieliczne próbki zawierały powyżej 108 kopii wirusa PCV2/ml. Poziom przeciwciał w grupie VI okazał się być niższy niż w grupach NVI i C, prawdopodobnie ze względu na niższą stymulację czynnikiem zakaźnym. Prawdopodobnie poziom przeciwciał nie wynika wyłącznie ze szczepienia; wzrost poziomu odporności lokalnej dla PCV2 w błonach śluzowych może zapobiegać infekcji i w konsekwencji siewstwu, oraz zmniejszać prawdopodobieństwo zakażenia płodów i płynu owodniowego.

Ryc. 2 - Immunohistochemiczne barwienie antygenu PCV2b w zmianach martwiczych trofoblastu (kolor brązowy).
Chromogen: diaminobenzydyna; barwienie kontrastowe: hematoksylina.
Opisane doświadczenia wykazały, że inseminacja konwencjonalnych loszek nasieniem zanieczyszczonym PCV2 doprowadziła do zakażenia płodów oraz zmian w łożysku, a szczepienie loszek przeciw PCV2, przed inseminacją obniżyło poziom wiremii u loszek, zmniejszyło siewstwo wirusa i zabezpieczyło płody przed infekcją.





