Biegunka u warchlaków i tuczników dość powszechnie występuje w fermach komercyjnych I istotnie ogranicza opłacalność globalnej produkcji świń. Choroby jelit u świń starszych niż 4 tygodnie życia mogą być eksperymentalnie wywołane przez kilka czynników zakaźnych takich jak rotawirusy, koronawirusy, Escherichia coli, Brachyspira spp., Salmonella spp., Yersinia spp., Lawsonia intracellularis, Oesophagostomum dentatum i Trichuris suis. W większości przypadków biegunka w okresie poodsadzeniowym wynika ze współdziałania wielu czynników zakaźnych oraz niezakaźnych, takich jak pasza, woda i czynniki środowiskowe.
Cirkowirus świń typ 2 (PCV2), niezbędny czynnik uogólnionej choroby związanej z cirkowirusami (PCV2-SD), a także czynnik zakażenia subklinicznego (PCV2-SI), uważany jest za drobnoustrój ogólnoustrojowy. Ostatnio jednak wykazano, że może on również wywoływać biegunkę u świń, a choroba jelitowa związana z PCV2 (PCV2-ED) jest odrębną jednostką wśród chorób związanych z PCV2 (PCVD). Definicja przypadku obejmuje: a) biegunkę; b) ziarniniakowe zapalenie jelit i obniżenie liczby limfocytów widoczne pod mikroskopem w kępkach Peyera, lecz nie w innych tkankach limfoidalnych, i c:) średnią do wysokiej zawartość PCV2 w śluzówce jelit lub kępkach Peyera, lecz nie w innych tkankach organizmu.

W celu określenia występowania PCV2-ED przeprowadzono badania występowania zakażeń PCV2 u warchlaków i tuczników z biegunką w Hiszpanii, oraz określenia korelacji między PCV2-ED i PCV2-SD. Badania przeprowadzono na 96 świniach z biegunką przesłanych do badania sekcyjnego do Servei de Diagnòstic de Patologia Veterinària na Wydziale Weterynaryjnym na Universitat Autònoma de Barcelona (Hiszpania). Świnie dostarczono do badania w latach 1998 i 2011, i były to zwierzęta nieszczepione przeciw PCV2. Najczęściej stwierdzono w jelitach zmiany nieżytowe (77,1%), włóknikowe (11,5%) i ziarniniakowe zapalenie jelit (4,2%); Stwierdzono również takie zmiany jak wybroczyny lub owrzodzenia (4,2%). U 72 świń (75%) stwierdzono PCV2 w hybrydyzacji in situ (ISH). Wśród dodatnich w ISH świń, u 39 sztuk stwierdzono PCV2-SD, a u 33 nie stwierdzono istotnych zmian i tylko niską zawartość wirusowego DNA w tkance limfoidalnej. W konsekwencji stwierdzono, że te ostatnie zwierzęta wykazywały cechy uogólnionego zakażenia PCV2 a nie PCVD-ED. Interpretacja niskiej zawartości PCV2 w różnych tkankach limfoidalnych bez zmian mikroskopowych może być trojaka: a) PCV2-SI, b) wstępna faza PCV2-SD, lub c) faza zdrowienia po PCV2-SD.

Ryc. 1. Schemat opisujący kryteria dla świń zakażonych PCV2 włączonych do badań.
 
Wyniki te (Ryc. 1) wskazują, że PCV2-ED ma znaczenie marginalne, i że PCV2 może wywoływać biegunkę w przebiegu PCV2-SD.
Należy podkreślić, że problemy jelitowe stwierdzono w wielu fermach dotkniętych PCV2-SD. Mechanizm w jaki dochodziło do biegunki nie został wyjaśniony. Z jednej strony uogólniona immunosupresja związana z PCV2-SD może być czynnikiem uruchamiającym proces wywołany patogenami jelitowymi obecnymi w fermie, które w innej sytuacji nie okazałyby się groźne. Proces patologiczny w przebiegu PCV2-SD u części zwierząt może prowadzić do różnego stopnia ziarniniakowego zapalenia jelit (fot. 1 i 2), które może być przyczyną biegunki na skutek zmienionej przepuszczalności bariery jelitowej. W przypadku takiego scenariusza pojawienie się szczepionek przeciw PCV2, i ograniczenie liczby świń i ferm z PCV2-SD, doprowadziło do ograniczenie koinfekcji PCV2 i innych patogenów jelitowych.

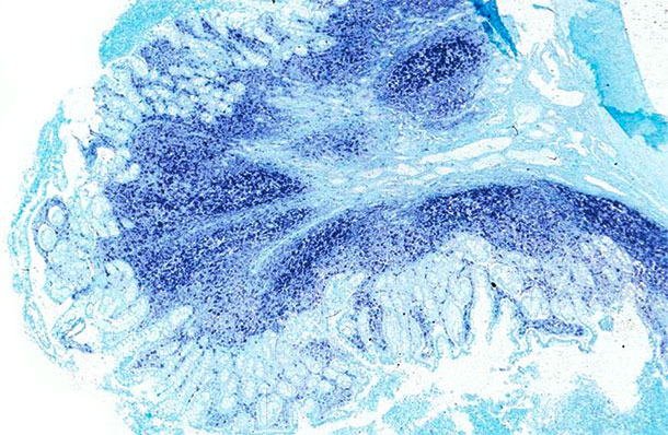
Fot.1. Jelito kręte. Wyraźne obniżenie liczby limfocytów oraz zapalenie ziarniniakowe w kępkach Peyera jelita krętego świni z uogólnionym zakażeniem PCV2 (PCV2-SD). Barwienie hematoksyliną i eozyną.

Fot. 2. Jelito kręte. To samo jelito świni z uogólnionym zakażeniem PCV2 (PCV2-SD) z dużą ilością DNA PCV2 w obrębie kępek Peyera i śluzówki.
Na skutek prowadzenia szczepień, najczęściej występującą formą infekcji PCV2 jest PCV2-SI, a objawy ogólnoustrojowe lub jelitowe są minimalne. W efekcie, kiedy pojawia się biegunka w wieku, w którym występuje również PCV2-SI, jest bardzo prawdopodobne, że towarzyszące zakażenia patogenami jelitowymi są głównym czynnikiem przyczyniającym się do problemu klinicznego. Dlatego też, jest bardzo ważne aby stosować dokładną diagnostykę w celu określenia prawdziwej roli poszczególnych patogenów w wywoływaniu biegunki w określonym przypadku. Badanie sekcyjne i mikroskopowe może być niezwykle pomocne w takich przypadkach.



