Strona 4 - artykuły na temat pcv2

Problemy ze sutecznością szczepień przeciw PCV2
Główną przyczyną niezadowalającej skuteczności szczepień przeciw PCV2 jest stosowanie generyków o niskiej jakości.

Przypadek kliniczny: Przypadki zaburzeń w rozrodzie w nowo utworzonym stadzie
W nowo utworzonym stadzie w Bretanii pojawiły się objawy kliniczne u loszek z dwóch pierwszych partii loszek sprowadzonych do fermy.

Nowe mutanty PCV2: czy obecnie dostępne szczepionki chronią przed nimi?
W 2012 roku w USA odkryto nowe, zmutowane warianty PCV2 (mPCV2), które często występowały w przypadkach PCVAD. Pojawiły się więc pytania czy obecnie dostępne szczepionki przeciw PCV2 chronią przed zakażeniami tymi nowymi szczepami.

Modelowanie: dodatkowy element w badaniach terenowych i doświadczalnych
Ograniczenie mieszania prosiąt i warchlaków opóźnia zakażenie PCV2. Utrzymywanie warchlaków w małych kojcach również istotnie zmniejsza prawdopodobieństwo wczesnej infekcji.
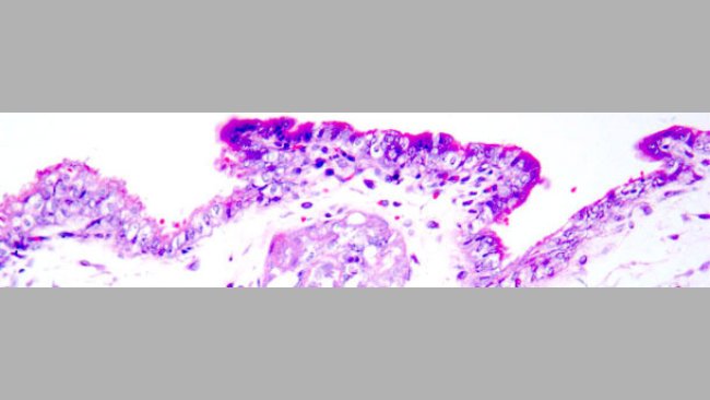
Łożyskowa transmisja cirkowirusa swiń typu 2.

Droga do rentowności – nakłady na opiekę zdrowotną a koszty produkcji świń
To co w największym stopniu przyczynia się do wzrostu opłacalności produkcji trzody chlewnej to nie minimalizacja kosztów a przede wszystkim maksymalizacja dochodu.
Związek między średnimi dziennymi przyrostami, zawartością suchej masy kałowej, a koncentracją Lawsonia intracellularis w kale.
Skuteczność działania pojedynczej dawki szczepionki zawierającej inaktywowanego całego wirusa PCV2 i adjuwantu olejowego u prosiąt.

Rozpoznawanie chorób związanych z PCV2
Mimo niewątpliwej przydatności badań laboratoryjnych, nie wolno nam zapominać, że badanie sekcyjne pozwala na częściowy zwrot straty wywołanej śmiercią świni.

Genomika a zdrowie świń
Jedną z największych zalet długoterminowych potencjałów selekcji genomowej jest możliwość określenia konkretnych genów lub regionów genomu mających znaczny wpływ na zdrowie świń, co może wspomagać selekcję zwierząt pod kątem odporności i/lub tolerancji na daną chorobę.

Rozród u loszek inseminowanych nasieniem zanieczyszczonym PCV2. Ochrona loszek szczepionką przeciw PCV2 dla loch.
Szczepienie loszek przeciw PCV2, poprzedzające inseminację nasieniem zanieczyszczonym PCV2 doprowadziło do ograniczenia wiremii, obniżenia siewstwa wirusa oraz ochrony płodów.

Właściwości wirusa PCV2
PCV2 jest niezwykle odporny na warunki środowiskowe oraz czynniki chemiczne i wysoką temperaturę

Aktualne dane na temat bezobjawowych zakażeń cirkowirusem świń typ 2
Dziś już niewiele osób wątpi w skuteczność szczepień przeciw PCV2 w odniesieniu do prosiąt zakażonych bezobjawowo. A w odniesieniu do loch?

Jak ocenić ekonomiczne skutki zakażenia PCV?
Prezentowany model ekonomiczny został stworzony aby pomóc hodowcom i lekarzom w ocenie strat związanych z PMWS, kosztów z nimi związanych, oraz w wyborze najefektywniejszych metod zwalczania zespołu.